Ortodoncia en niños
Dedicación exclusiva a la salud bucodental de tu hijo

¿Qué es la ortodoncia?

La ortodoncia se encarga de diagnosticar, prevenir y tratar las irregularidades dentales y faciales. Siendo el ortodoncista un odontólogo que además dispone de estudios avanzados en ortodoncia, es decir, de conocimientos especializados para poder corregir la posición de los dientes y guiar el desarrollo de los maxilares.

 

Las doctoras de nuestra clínica son ortodoncistas con dedicación exclusiva a su especialidad. Formadas con un máster universitario oficial, además de decenas de cursos de formación continuada y más de 10 años de experiencia.

Ortodoncia

en niños

La ortodoncia interceptiva, como su propio nombre indica intercepta maloclusiones a edades tempranas, ayuda a que los dientes permanentes tengan espacio para erupcionar y favorece la posición ideal de los huesos maxilar y mandibular para su correcto desarrollo.

¿Cuál es la mejor edad para llevar a los niños al ortodoncista?

 

A partir de los 6-7 años, cuando ya han erupcionado los primeros molares definitivos, porque son estas primeras muelas adultas las que van a determinan la oclusión de los dientes definitivos en el adulto.

La gran mayoría de los niños no van a necesitar ningún tratamiento a estas edades. Si se observa algún problema, el ortodoncista revisará periódicamente tanto el crecimiento como el recambio dentario y decidirá el mejor momento para empezar el tratamiento.

En los casos que se detecten alteraciones congénitas o malos hábitos que afectan al desarrollo de los huesos de la cara o a la erupción de los dientes definitivos realizaremos tratamientos precoces, que suelen ser sencillos, indoloros y no suelen durar más de 1 año.

Ahora tu ortodoncia con un 20% de descuento

¡PIDE TU CITA ONLINE Y NOSOTROS TE LLAMAMOS!

La primera visita
Problemas que necesitan tratamiento
Aparatología para niños

La primera

visita

Consiste en una exploración clínica completa dónde te informaremos sobre tu tratamiento ideal y aclararemos todas tus dudas, así que, ¡si quieres una opinión profesional sobre tu problema ven a vernos! Esta consulta es GRATUITA y estaremos encantados de informarte y ayudarte en lo que necesites.

 

El siguiente paso será acordar una cita para tomar una serie de registros diagnósticos fundamentales para estudiar con precisión cada problema y así, poder planificar el tratamiento de manera individualizada.

El estudio consiste en la toma de una serie de registros:

  • Fotos extraorales
  • Fotos intraorales
  • Escaneado digital de dientes o toma de impresiones dentales
  • Modelos
  • Radiografías (ortopantomografía y teleradiografía)
  • Y en adultos, según los requerimientos del caso, un TAC

¿Qué problemas pueden necesitar tratamiento precoz?

Siete signos en los que te debes fijar

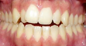
1 Protusión dental

Los dientes superiores sobresalen demasiado, habiendo riesgo de fractura por traumatismo.

4 MALA POSICIÓN

Erupción de algún diente en mala posición.

2 MORDIDA CRUZADA POSTERIOR

Mordida cruzada posterior: Los dientes posteriores superiores muerden por dentro de los inferiores. Se deben a un hueso maxilar (superior) estrecho y es importante corregirlas cuanto antes para que no afecte al desarrollo normal de ambos maxilares y evitar desviaciones esqueléticas de la mandíbula.

5 MORDIDA CRUZADA ANTERIOR

Cuando los incisivos superiores muerden por detrás de los inferiores.

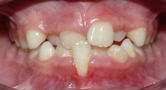
3 MORDIDA ABIERTA

Los incisivos superiores e inferiores no llegan a contactar. Típica en niños que se chupan el dedo, que utilizan el chupete demasiado tiempo o interponen la lengua entre los dientes anteriores al tragar, impidiendo la erupción de los incisivos y deformando el desarrollo de los maxilares.

5 MORDIDA CRUZADA ANTERIOR

Cuando los incisivos superiores muerden por detrás de los inferiores.

Aparatología que se puede usar en los niños

01

Aparatos removibles

son aparatos de quitar y poner. Dentro de este grupo se encuentran los aparatos de ortopedia que ayudan a corregir el mal crecimiento de la mandíbula y/o maxilar, y a frenar malos hábitos que puedan conllevar problemas dentales futuros. Existen infinidad de aparatos diferentes.

02

Aparatos fijos

como el expansor palatino (disyuntor), que colocado a tiempo puede corregir un paladar ojival o hundido. La edad temprana es en este caso nuestra aliada, ya que los huesos en crecimiento son más moldeables que en la edad adulta.

03

Brackets

a edades tempranas es posible utilizar los brackets como un tratamiento de ortodoncia interceptiva durante un breve periodo de tiempo.

04

Invisalign first

es la opción de tratamiento a base de alineadores transparentes para niños. Funciona igual que los brackets, con el valor añadido de ser casi imperceptible. Permite corregir un amplio tipo de maloclusiones.

¿Qué cuidados debe tener un niño con aparato?

Se deben extremar las medidas de higiene. Principalmente en aparatos fijos ya que la retención de restos de comida es mucho mayor, por eso se aconseja el cepillado siempre después de comer. Con los aparatos removibles aconsejamos cepillado antes de colocarlo y cuando lo retiramos. Igualmente debemos conservar limpio el aparato cepillándolo con agua y jabón neutro.