Ortodoncia en adultos
La edad ya no es un impedimento para mejorar tu sonrisa

¿Qué es la ortodoncia?

La ortodoncia se encarga de diagnosticar, prevenir y tratar las irregularidades dentales y faciales. Siendo el ortodoncista un odontólogo que además dispone de estudios avanzados en ortodoncia, es decir, de conocimientos especializados para poder corregir la posición de los dientes y guiar el desarrollo de los maxilares.

 

Las doctoras de nuestra clínica son ortodoncistas con dedicación exclusiva a su especialidad. Formadas con un máster universitario oficial, además de decenas de cursos de formación continuada y más de 10 años de experiencia.

Ortodoncia

en adultos

La edad ya no es un impedimento para alinear tus dientes y mejorar tu sonrisa. Una sonrisa con unos dientes blancos y bien alineados trasmite salud y juventud a todas las edades.

Al alinear los dientes y ajustar bien la oclusión, además, se mejora la salud de las encías y del sistema periodontal que sujeta los dientes.

En resumen, no solo conseguirás una bonita sonrisa, sino que ayudarás a preservar la longevidad de tu dentadura. La elección del tipo de aparato de ortodoncia a emplear es una decisión personal, pero hay que ponerse en manos de un ortodoncista para que realice un estudio de tu caso y te proponga el plan de tratamiento que consiga los resultados buscados.

Ahora tu ortodoncia con un 20% de descuento

¡PIDE TU CITA ONLINE Y NOSOTROS TE LLAMAMOS!

La primera visita
Braquets
Invisalign

La primera

visita

Consiste en una exploración clínica completa dónde te informaremos sobre tu tratamiento ideal y aclararemos todas tus dudas, así que, ¡si quieres una opinión profesional sobre tu problema ven a vernos! Esta consulta es GRATUITA y estaremos encantados de informarte y ayudarte en lo que necesites.

 

El siguiente paso será acordar una cita para tomar una serie de registros diagnósticos fundamentales para estudiar con precisión cada problema y así, poder planificar el tratamiento de manera individualizada.

El estudio consiste en la toma de una serie de registros:

  • Fotos extraorales
  • Fotos intraorales
  • Escaneado digital de dientes o toma de impresiones dentales
  • Modelos
  • Radiografías (ortopantomografía y teleradiografía)
  • Y en adultos, según los requerimientos del caso, un TAC

Los sistemas de ortodoncia que se utilizan en la actualidad

Hoy en dia se utilizan principalmete dos tipos de ortodoncia, los BRAQUETS, que son un sistema de aparatología fija y la más conocida y los ALINEADORES TRASPARENTES que es más estético pero igual de efectivo

Braquets o

aparatología fija

Este tipo de ortodoncia es la más conocida, los brackets de toda la vida que van colocados en la cara exterior del diente. Los aparatos fijos, como su propio nombre indica, se adhieren de manera “permanente” a tus dientes, por lo que están actuando de forma constante sobre la dentición hasta que sean retirados al terminar el tratamiento. Como van fijados a cada pieza dental de manera individual, permiten llevar a cabo todo tipo de movimientos de forma específica, permitiendo, por tanto, un control absoluto y resultados muy precisos.

Tipos de braquets

Brackets Metálicos Convencionales

Los brackets usados por el nuestras doctoras especialistas son de perfil bajo, de pequeño tamaño y con acabados redondeados, ofreciendo al paciente la máxima comodidad y una correcta higiene. Están hechos de acero inoxidable. Se unen al alambre mediante las típicas “gomitas” (que pueden ser de colores si el paciente así lo solicita)

Brackets de autoligado

Los brackets de autoligado o de baja fricción son brackets con un moderno mecanismo de cierre que elimina la necesidad de usar ligaduras (las típicas gomitas) para insertar el arco en el bracket. El alambre se sujeta al bracket por medio de un gancho o una “tapita” (depende del sistema) y no hace falta colocar las gomitas… seguir leyendo>

Brackets estéticos Convencionales

Ofrecen tanto estética como eficiencia en el tratamiento. Suelen ser la solución ideal para aquellas personas que buscan un tratamiento de ortodoncia fija que además de ser efectivo (como los brackets tradicionales), sea estético. Los brackets estéticos suelen ser de cerámica o de zafiro, que son prácticamente imperceptibles para los demás… seguir leyendo>

Brackets linguales: ortodoncia lingual

La ortodoncia lingual es perfecta para las personas que no quieren que nadie note que llevan aparato, porque al colocar los brackets en la cara interna de los dientes, resulta completamente invisible. Es la verdadera ortodoncia invisible 100%.

 

Se trata de una verdadera revolución tecnológica… seguir leyendo>

Preguntas frecuentes sobre aparatología fija

Lorem fistrum por la gloria de mi madre esse jarl aliqua llevame al sircoo. De la pradera ullamco qué dise usteer está la cosa muy malar.
Lorem fistrum por la gloria de mi madre esse jarl aliqua llevame al sircoo. De la pradera ullamco qué dise usteer está la cosa muy malar.
Lorem fistrum por la gloria de mi madre esse jarl aliqua llevame al sircoo. De la pradera ullamco qué dise usteer está la cosa muy malar.
Lorem fistrum por la gloria de mi madre esse jarl aliqua llevame al sircoo. De la pradera ullamco qué dise usteer está la cosa muy malar.
Lorem fistrum por la gloria de mi madre esse jarl aliqua llevame al sircoo. De la pradera ullamco qué dise usteer está la cosa muy malar.
Lorem fistrum por la gloria de mi madre esse jarl aliqua llevame al sircoo. De la pradera ullamco qué dise usteer está la cosa muy malar.
Lorem fistrum por la gloria de mi madre esse jarl aliqua llevame al sircoo. De la pradera ullamco qué dise usteer está la cosa muy malar.
Lorem fistrum por la gloria de mi madre esse jarl aliqua llevame al sircoo. De la pradera ullamco qué dise usteer está la cosa muy malar.

Invisalign o
alineadores transparentes

El tratamiento de ortodoncia con alineadores transparentes es un sistema muy efectivo a la par que estético que te permitirá corregir tus dientes sin que noten que llevas aparato. Consiste en ir cambiando las férulas para llevar los dientes a su posición óptima. Es el tratamiento de ortodoncia más cómodo del mercado ya que puedes comer lo que quieras y mantener una buena higiene dental, porque los alineadores son de quita y pon.

ESTILO DE VIDA

Este tipo de ortodoncia invisible permite mantener una higiene bucal óptima. Desapareciendo los problemas de encías que presentan algunos pacientes de ortodoncia fija con brackets por la dificultad del cepillado. Además, ofrecen la gran ventaja de poder comer tus comidas favoritas sin restricciones. Podrás comer libremente alimentos duros, que no podrías comer con brackets, gracias a que los alineadores son fácilmente extraíbles. No afectará a tu estilo de vida. Verás que incluir este tipo de ortodoncia invisible en tu día a día, será muy fácil. Sin alambres ni brackets, no tienes que preocuparte por irritaciones bucales.

 

INVISALIGN Y DEPORTE

La ortodoncia fija con brackets puede suponer un riesgo importante a la hora de practicar muchos deportes, ya que cualquier caída o pequeño golpe puede causar lesiones en los labios, lengua y mejillas. Con el tratamiento de Invisalign este riesgo de lesiones desaparece puesto que los alineadores tienen una superficie lisa y perfectamente adaptada a los dientes.

CÓMO FUNCIONA

Una vez que decidas corregir tu sonrisa con los alineadores transparentes, realizaremos un escáner intraoral o impresiones precisas de silicona de tu boca y con estos registros planificamos tu tratamiento a través de un programa informático que te permitirá ver cómo quedará tu sonrisa ANTES de empezar el tratamiento.

 

La planificación realizada por las doctoras es enviada a Estados Unidos, dónde elaboran la serie de férulas que deberás colocarte y cambiarte cada 7-14 días aproximadamente. Cada alineador es ligeramente diferente al anterior, para poder realizar los movimientos dentales planificados por el doctor. ¡De este modo, podrás ver los progresos de tu sonrisa férula a férula!

Preguntas frecuentes sobre ortodoncia invisalign

Lorem fistrum por la gloria de mi madre esse jarl aliqua llevame al sircoo. De la pradera ullamco qué dise usteer está la cosa muy malar.
Lorem fistrum por la gloria de mi madre esse jarl aliqua llevame al sircoo. De la pradera ullamco qué dise usteer está la cosa muy malar.
Lorem fistrum por la gloria de mi madre esse jarl aliqua llevame al sircoo. De la pradera ullamco qué dise usteer está la cosa muy malar.
Lorem fistrum por la gloria de mi madre esse jarl aliqua llevame al sircoo. De la pradera ullamco qué dise usteer está la cosa muy malar.
Lorem fistrum por la gloria de mi madre esse jarl aliqua llevame al sircoo. De la pradera ullamco qué dise usteer está la cosa muy malar.
Lorem fistrum por la gloria de mi madre esse jarl aliqua llevame al sircoo. De la pradera ullamco qué dise usteer está la cosa muy malar.

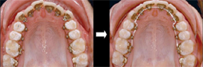
Casos antes y después

Tipos de braquets

CASO1

Tratamiento de mordida cruzada anterior, compresión maxilar y apiñamiento leve.

CASO2

Tratamiento de ortodoncia para cerrar diastemas y corregir la sobremordida.

CASO2

Tratamiento de ortodoncia para cerrar diastemas y corregir la sobremordida.

Tipos de braquets

CASO1

Tratamiento de mordida cruzada anterior, compresión maxilar y apiñamiento leve.

CASO2

Tratamiento de ortodoncia para cerrar diastemas y corregir la sobremordida.

CASO2

Tratamiento de ortodoncia para cerrar diastemas y corregir la sobremordida.

¿TIENES DUDAS SOBRE QUE TIPO DE ORTODONCIA TE CONVIENE?

PIDE CITA CON NUESTRO ORTODONCISTA